Other Dermatological Concerns

Our team of specialist dermatologists is highly experienced in diagnosing and managing a wide range of skin conditions beyond the more commonly known concerns such as acne, eczema, or skin cancer. 

We offer expert care for:

  • Benign Skin Lesions (ex. warts, cysts, and skin tags)

  • Nail Disorders (ex. fungal infections)
  • Keratosis pilaris
  • Pigmentary Disorders (ex. melasma & vitiligo)

  • Skin Infections (ex. fungal, viral, and bacterial conditions)

  • Unusual rashes and reactive skin conditions

  • Urticaria and chronic itch

  • Vulval dermatoses

Consult with our experienced dermatologists today.

Benign Skin Lesions

Benign skin lesions are non-cancerous growths that may appear anywhere on the body. While they are usually harmless, they can become irritated, cosmetically concerning, or occasionally resemble skin cancers. It’s important to assess them properly. Treatment may be recommended for diagnostic clarification, symptom relief, cosmetic reasons, or if there’s a concern about potential changes. We evaluate and manage a wide range of benign skin lesions, including:

  • Seborrhoeic keratoses

  • Skin tags

  • Cysts

  • Lipomas

Nail Disorders

Nail changes can reflect a range of underlying dermatological or systemic conditions. Early treatment is essential to prevent permanent damage and restore nail health. We diagnose and treat:

  • Fungal nail infections – thickened, discoloured, or brittle nails caused by fungal overgrowth.

  • Psoriasis and lichen planus of the nails – inflammatory conditions leading to pitting, ridging, or nail separation.

  • Trauma-related or dystrophic nails – structural damage or deformity from injury or repetitive stress.

Keratosis Pilaris

Keratosis pilaris is a common, harmless condition that appears as small, rough bumps—often on the upper arms, thighs, or cheeks. It occurs when keratin builds up in hair follicles. While it is not medically serious, we offer personalised treatment options to help improve skin texture and appearance, especially when it’s persistent or bothersome.

Pigmentary Disorders

Our dermatologists offer a range of treatment options tailored to the cause and type of pigmentary change.

  • Melasma, often triggered by sun exposure or hormonal changes

  • Vitiligo, a condition where pigment-producing cells are lost

  • Post-inflammatory hyperpigmentation 

Skin Infections

Infectious skin conditions are commonly caused by bacteria, viruses, fungi, or parasites. Prompt diagnosis and targeted treatment are essential. 

  • Fungal infections

  • Bacterial infections 

  • Viral infections

Unusual Rashes and Reactive Skin Conditions

Not all rashes fit into common diagnostic categories. Some may be caused by medications, allergies, autoimmune activity, or unknown triggers. Through careful assessment, patch testing, or skin biopsy when needed, we work to deliver personalised care. 

  • Persistent or recurring unexplained rashes

  • Contact dermatitis or allergic reactions

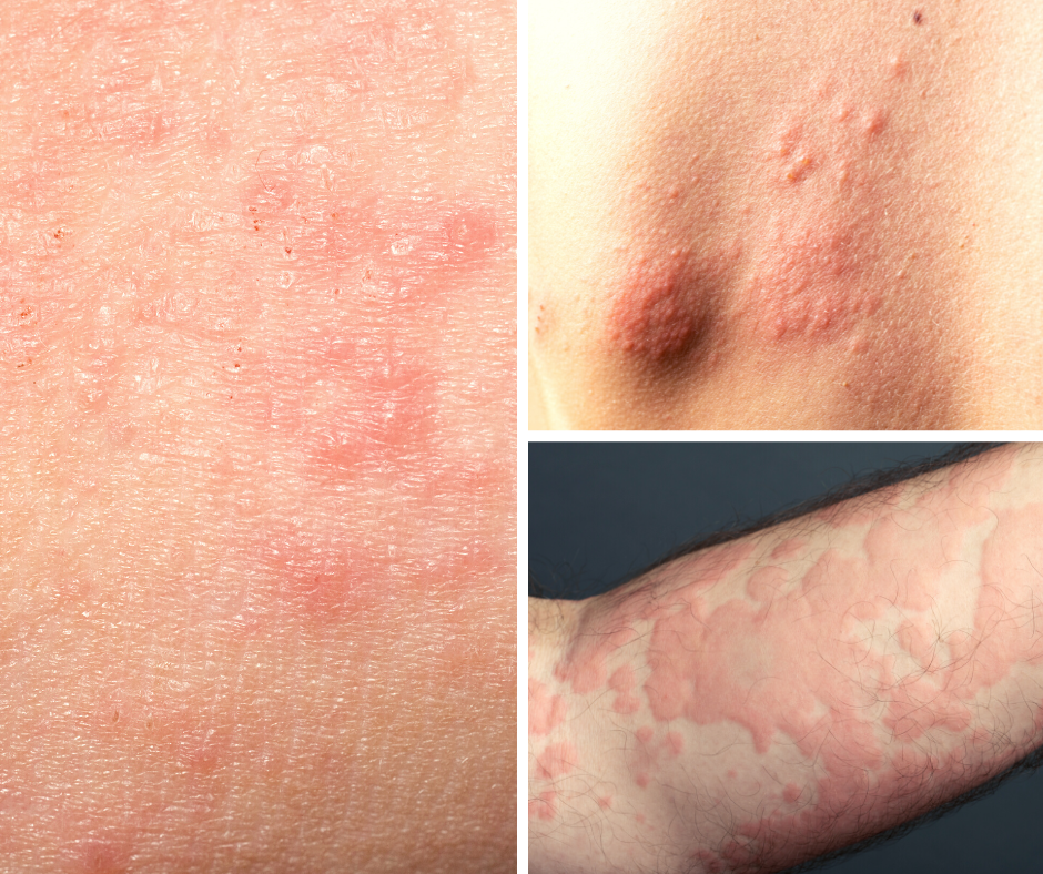
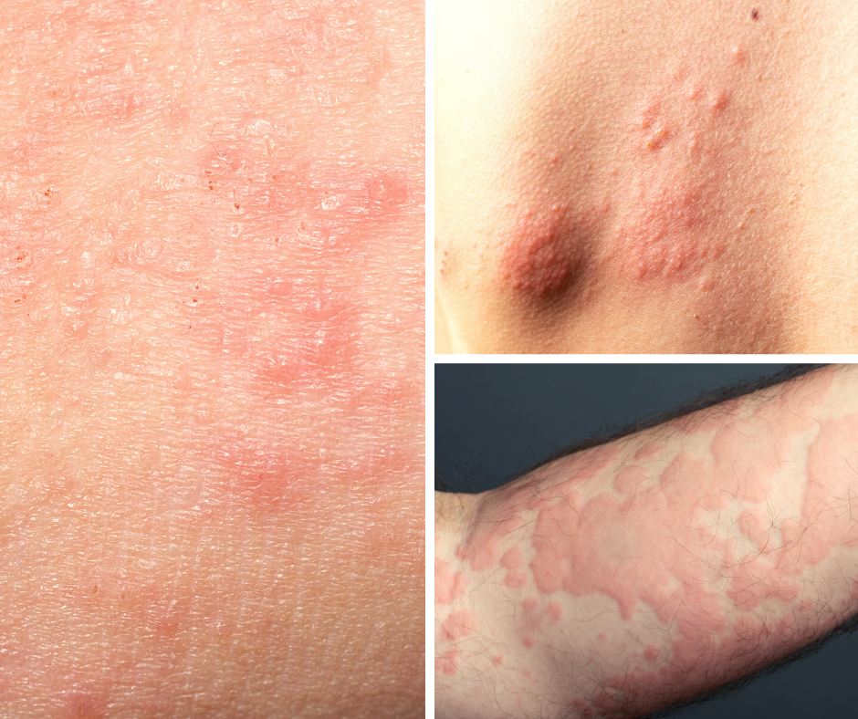
Urticaria and Chronic Itch

Urticaria (hives) is a skin reaction causing itchy, raised welts that may come and go. In chronic cases, it can persist for weeks or months.
Chronic itch can result from underlying skin conditions, allergies, or systemic diseases and often interferes with sleep and daily life.
We provide thorough evaluation and treatment options to relieve symptoms and address the root cause where possible.

Vulval Dermatoses

Skin conditions affecting the vulva can be uncomfortable, distressing, and often misdiagnosed. We provide a confidential, supportive approach to managing these complex conditions, with an emphasis on patient comfort and long-term control.